Bei der CT-gesteuerten Schmerztherapie handelt es sich um ein besonders präzises Verfahren. So werden per computertomographischer Planung in der Bauchlage des Patienten feine Nadeln millimetergenau an die schmerzenden Strukturen wie Wirbelgelenke oder Nervenwurzeln sowie ggf. auch an einen Bandscheibenvorfall herangeführt, so dass die genaue Lage der Instrumente jederzeit kontrolliert und Medikamente und Instrumente hochpräzise platziert werden können. Alle Therapien können ambulant durchgeführt werden.
Diese Behandlungen sind für Patienten mit Rückenschmerzen geeignet, deren Beschwerden auf die Reizung einer oder mehrerer Nervenwurzeln und/oder der kleinen Wirbelsäulengelenke (Facetten-, Costotransversal-, Costovertebralgelenke) und /oder des Iliosakralgelenks zurückzuführen sind.
Ein Großteil dieser Patienten hat durch konventionelle, fachorthopädische Schmerzbehandlung (Physiotherapie, entzündungshemmende Schmerzmittel, etc.) keine dauerhafte Linderung erfahren.
Bandscheibenvorfall
Durch einen Bandscheibenvorfall oder eine knöcherne Einengung der Wirbelsäule können Nervenwurzeln gereizt werden. Dies kann Schmerzen verursachen, die meist in das Bein oder den Arm ausstrahlen. Auch „Vernarbungen“ nach Bandscheibenoperationen können die Nervenwurzel reizen und Schmerzen hervorrufen.
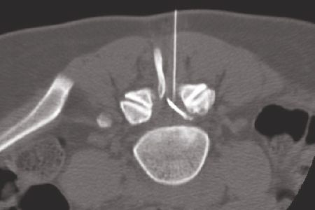
Periradikuläre Therapie (PRT)
Die PRT ist eine Behandlung der betroffenen Nervenwurzel, die an der Hals-, Brust- und Lendenwirbelsäule durchgeführt werden kann. Unter MR- oder CT-Steuerung wird eine dünne Spezialsonde bis unmittelbar an die Nervenwurzel (entweder in der Nervenaustrittstelle (lateral) oder an den Spinalkanal (epidural) vorgeschoben. Zur Kontrolle wird ein Röntgenkontrastmittel durch die Nadel eingebracht, um die spätere Verteilung der Medikamente zu planen.
Zur Therapie werden verschiedene Medikamente eingesetzt. Gegen den Schmerz werden kurz- und langwirksame Lokalanästhetika (z.B. Carbostesin und Scandicain) verwendet. Zur Entzündungshemmung wird ein naturheilkundliches Medikament (Traumeel) und/oder ein lokal wirksames Kortisonpräparat (Triamcinolon) injiziert. Diese Medikamente haben sich langjährig bei der epiduralen sowie periradikulären Therapie bewährt. Anschließend kann die Kanüle entfernt werden, die Therapie ist beendet.
Durch die CT- Steuerung gelingt es, die Medikamente präzise an die Bandscheibe bzw. um die Nervenwurzel zu platzieren, die sich bis in den Wirbelkanal verteilen. So kann eine hohe örtliche Wirkdosis an der geschädigten Bandscheibe erreicht werden. Je nach Beschwerden wird in der Regel die Therapie vier- bis achtmal in Abständen von ca. zwei, später vier Wochen wiederholt.
Therapie der Facettengelenke (FAB, FAA, TKF)
Therapie der Costotransversal-, Costovertebralgelenke • Therapie des Iliosakralgelenks
Die Wirbelkörper sind durch kleine Gelenke (Facettengelenke) verbunden. Auch die Rippen sind mit der Wirbelsäule gelenkig verbunden (Costotransversal-, Costovertebralgelenke). Diese Gelenke und auch das Iliosakralgelenk, welches das Kreuzbein mit dem Darmbein verbindet, können bei Verschleiß (Degeneration) oder Entzündung die Ursache starker Rücken- bzw. Nacken-Schulterschmerzen sein.
Zur Therapie der betroffenen Gelenke stehen uns mehrere Behandlungsformen zur Verfügung:
– Die Gelenkblockade durch Medikamente
– Die Ausschaltung durch Nervenverödung (Neurolyse)
• Chemisch (mit Hilfe von Alkohol-Lösung)
• Thermisch (mit Hilfe von Thermokoagulation)
Bei der medikamentösen Gelenkblockade der Facettengelenke (FAB), der Rippengelenke (CTT, CVT) oder des Iliosakralgelenks wird eine kleine Injektionsnadel am oder im Gelenk platziert. Durch diese Nadel wird zunächst ein Kontrastmittel eingebracht, um den späteren Verlauf der Medikamente zu kontrollieren. Nach sicherer Platzierung der Kanüle werden entzündungshemmende und lokale Betäubungsmittel gegeben – das Gelenk wird „blockiert“. Die Behandlung erfolgt ambulant und spricht in der Regel erst nach zwei bis vier Sitzungen an.
Bei der Ausschaltung der Facettengelenke (FAA), der Rippengelenke (CTA, CVA) oder des Iliosakralgelenks durch Nervenverödung werden gezielt Teile des Gelenks und schmerzempfndliche Nerven mit Hilfe von Ethanol (95%-iger Alkohol), Hochfrequenz- oder Laserenergie ausgeschaltet. Hierfür wird eine kleine Kanüle präzise am Gelenk oder Nerven platziert, durch die dann das Ethanol, die Lasersonde oder Hochfrequenzelektrode eingebracht werden kann. Der Verlauf der Behandlung wird durch wiederholte CT- oder Kernspinkontrolle überwacht. Nach der Gelenkausschaltung bleiben die Patienten etwa eine Stunde zur Beobachtung vor Ort.
Beide Behandlungsformen sind in der Regel aufgrund der örtlichen Betäubung fast schmerzfrei.
Die Vorteile der minimal-invasiven Verfahren sind:
– Durch Miniaturisierung der Operationsinstrumente und gleichzeitige Sichtkontrolle mittels CT oder MRT ist es möglich, die Behandlung sicher, präzise und relativ schmerzlos durchzuführen.
– Bei dieser hochpräzisen Vorgehensweise entstehen nur geringe Gewebedefekte. Durch gleichzeitige Darstellung benachbarter Organe sind deren Verletzungen sowie größere Narbenbildungen nahezu ausgeschlossen.
– Die Behandlung ist in den meisten Fällen ambulant möglich, besondere Änderungen der häuslichen Umgebung sind nicht notwendig.
